Transform your smile with our expert cosmetic dental treatments
From veneers to teeth whitening, we offer a range of cosmetic treatments to help you achieve the smile you've always wanted. Our experienced team uses the latest techniques and technology to deliver beautiful, natural-looking results.
Everyone wants a brighter, more confident smile. Whitening or bleaching is an effective, safe and simple method of lightening the colour of your teeth. Our dentist can assess your teeth and advise you of the best technique available for you to achieve the smile you want.
Tooth discolouration can be caused by coffee, smoking, red wine, and ageing. Some antibiotics like tetracyclines can also discolour your teeth.
With Tooth Whitening, you can reverse tooth discolouration and rejuvenate your smile. Whiter teeth will make you look and feel years younger. Dentist-supervised teeth whitening involves the controlled use of carbamide or hydrogen peroxide, specific to the needs of each patient. Your dentist may provide in-office or at-home tooth whitening treatments or a combination of both.
It's important to know that there's a limit to how white natural teeth can get. We can't achieve porcelain sink whiteness with whitening gels. A 'movie star smile' can only be created with multiple porcelain veneers or crowns. Some teeth are resistant to gel-based whitening procedures - in these cases, other options can be recommended.
Teeth whitening is suitable for most adults, although we don't advise it for women who are pregnant or breastfeeding. Before we whiten your teeth, we strongly recommend that you are cavity free and have no active gum disease. We require you to have a professional examination and clean prior to starting treatment.
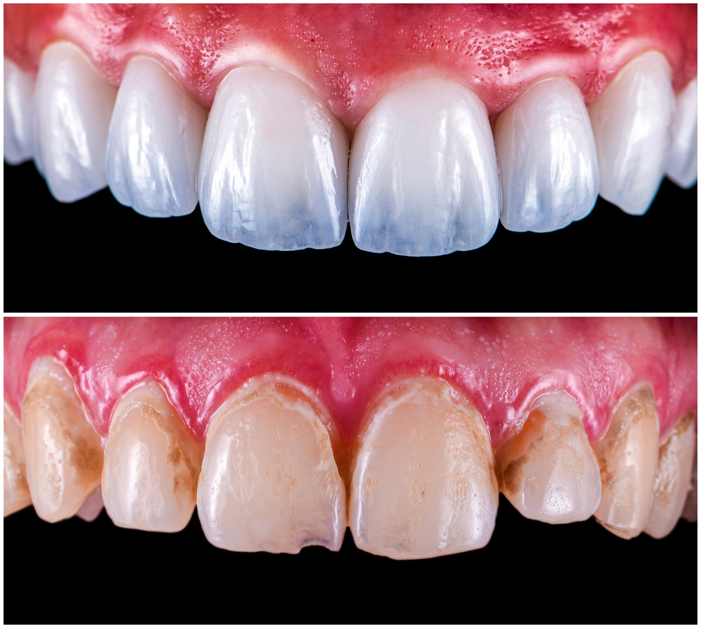
Porcelain veneers are thin porcelain facings that are permanently bonded to the outer surfaces of teeth to improve their appearance. The porcelain has an extremely smooth surface making the veneers resistant to staining and very natural in appearance.
They have the ability to change the colour, shape and alignment of teeth on which they are placed but do require removal of some tooth structure prior to placement, so careful assessment of each individual's need is essential. Porcelain Veneers require a minimum of two appointments to be fitted.
Using a white resin, matched to the colour of your teeth, bonding can be used to fill dental cavities, close small gaps, repair slightly damaged teeth, or to reshape a tooth. This resin is applied to your tooth and artistically shaped and then hardened and polished to blend in with the natural look of your teeth.
They are very effective and affordable as they don't require fabrication in a laboratory, and they don't damage your teeth as no tooth structure needs to be drilled to place bonding.
Tooth bonding is ideal for patients with small gaps in between their front teeth or if your teeth are slightly crooked or unevenly spaced. It can also be a good option if you have severe staining on your teeth which has not been responsive to teeth whitening procedures.
Tooth bonding is a fantastic solution for many people – but may not be the best for correcting your specific situation. We are devoted to providing you with the healthiest, most beautiful smile possible, and will work closely with you to ensure your exact needs are met.
Book a consultation with our experienced team to discuss your cosmetic dental goals
Book via eAppointmentCommon questions about cosmetic dentistry
At My Dental Home, we offer cosmetic dentistry treatments including teeth whitening, veneers, smile makeovers, and cosmetic bonding to help improve the appearance of your smile.
Most cosmetic dentistry procedures are minimally invasive and generally comfortable. Our Underwood QLD dental team focuses on gentle care to ensure a relaxed and positive treatment experience.
The cost of cosmetic dentistry depends on the treatment type and your individual smile goals. We provide personalised treatment plans and discuss pricing clearly before starting any procedure.
Some cosmetic dentistry treatments can be completed in a single visit, while others may require multiple appointments. Treatment time varies based on the complexity of your smile transformation.
With proper oral hygiene and regular dental visits, cosmetic dentistry results can last for many years. Our Underwood QLD dental team also provides aftercare advice to help maintain your new smile.
Book your appointment today
11/21 Kingston Rd
Underwood QLD 4119
Mon-Fri: 8am-5pm
Sat: 8am-12pm
Send us a message and we'll get back to you shortly
Thank you for reaching out. We'll be in touch soon.